臨床検査技師になるには
臨床検査技師は国家資格で、臨床検査技師国家試験に合格する必要があります。
その受験資格を得るためには、高校卒業後、臨床検査技師養成課程のある4年制大学、
3年制の短大または専門学校で決められた課程を修了することが条件となります。
- 高校
-
- 大学
- 文部科学大臣指定の大学
または、
厚生労働大臣の
指定科目修了または、
医学・歯学の正規課程修了
- 短期大学・
専門学校 - 文部科学大臣指定の
短期大学または、
都道府県知事指定の
臨床検査技師養成所
- 臨床検査技師 国家試験
臨床検査技師
養成課程で学ぶ科目
低学年次には「化学」「生物学」「数学」などの基礎科目と専門科目をあわせて学びます。
学年が進むと専門科目の割合が増えます。
ほとんどの科目が「講義」と「実習」から成り立っています。
-
尿・糞便等一般検査学
尿・糞便等一般検査学岡田 茂治埼玉県立大学 健康開発学科 検査技術科学専攻
腎臓病と腎尿路系がんにアプローチする
尿や髄液などの体液を分析したり顕微鏡で細胞を観察したりする検査を通して、腎臓や尿路の病気、感染症などを見つけるための知識と技術を学ぶ科目です。
どんなことを学ぶの?
臨床検査は様々な生体検査データから診断や治療に寄与する学問です。感染症を例にとれば、感染源の細菌やウイルスを同定する微生物学的検査、感染に伴う全身状態を把握する生化学的検査、白血球の増加や種類を調べる血液学的検査、そして腎臓や膀胱などを調べる一般検査があげられます。例としてあげた感染症の診断をするだけでも様々な分野での臨床検査データが診断や治療に役立っています。
「一般検査」では健康診断や人間ドックなど、広く疾患をみつけることを目的とするスクリーニング検査、病院では診断や合併症を適切見つける検査として実施されています。腎尿路系といわれる腎臓、膀胱等を対象とした腎炎、感染症、がん、先天性代謝異常症等に対する尿検査、髄膜炎を疑う時に実施される髄液検査などの知識や検査技術を修得します。
講義や実習を通し、以下のようなことについて学びます。
1.尿検査
スクリーニング検査として広く実施されている尿中の蛋白、糖、潜血、比重、PH、ケトン体、亜硝酸塩等の検査があります。検査の原理を正しく理解し、偽陽性や偽陰性、検査結果の解釈などを学びます。

乾燥剤と湿度の影響に対する試験紙への影響に対する卒業研究例 2. 尿沈渣検査
遠心分離装置で尿を高速回転させて細胞成分を集め、顕微鏡で観察します。
検体から検出される赤血球や白血球、特に腎臓に由来する尿細管上皮細胞、円柱、感染症でみられる細菌、先天性代謝異常症で見られるシスチン結晶、2・8DHA結晶、マルベリー小体等の、特定の病気の診断に結びつく成分を顕微鏡で鑑別します。
3.髄液検査
臨床で特に重要な細菌性髄膜炎の診断と治療に必須な検査です。髄液中の白血球数と白血球の分類を行うことで、髄膜炎の診断や治療に重要なデータを提供するものです。細菌性髄膜炎で増加する多形核球(好中球)を鑑別し、細胞数をカウントすることが診断と治療に重要です。顕微鏡の操作法、標本の作成法、細胞の成分の分類などについて学びます。
4. 精度管理法
臨床では多くの分析機器が使用されています。一般検査では全自動尿定性検査分析装置、尿沈渣成分分析装置などです。自動で分析できる大きなメリットもありますが、正しい結果と再現性は維持されているのかなどを管理しなければなりません。長期間安定したコントロール試料を使用してデータの確認を行う精度管理はとても重要です。精度管理の方法や結果の解釈、トラブル時の対応などについても学びます。また、分析装置の性能を確認する検討作業では、同時再現性、共存物質の影響などを検討する様々な知識と技術が必要です。データを収集し解析する基礎統計学についても学びます。
学んだことは医療の現場でどのように役立つの?
「腎臓病の早期発見」
腎臓はとても重要な臓器です。生命維持に必須なホメオスタシス(恒常性)の維持、尿素、クレアチニンなどの老廃物の排泄、ナトリウム、カリウム、カルシウム、リンなどの無機物量の調整、利尿に関わる水分量と血圧などのコントロール、造血ホルモンであるエリスロポエチンの分泌など多岐にわたる機能を持つとても重要な臓器です。ひとたび腎機能が低下すると様々な全身症状が現れ、生命を脅かすものとなります。例として腎臓の機能が著しく低下した腎不全では、腎臓の機能に代わる人工透析が実施されます。その要因となる疾患は糖尿病性腎炎、糸球体腎炎、多発性嚢胞腎などがあり、スクリーニング検査として早期に腎障害を発見し腎不全にならないようにするきっかけとなります。一般検査から得られる検査データはその診断と治療に欠かせないものです。さらに、心臓と腎臓がお互いに影響し合う関係を「心腎連関(Cardio-Renal Syndrome: CRS)」と言われます。これは、腎臓の機能障害が心臓疾患を引き起こし、またその逆も起こることを指し、腎臓病と心臓病の強い関連が指摘されています。「がんの早期発見」また日本における死亡原因の1位であるがん(悪性新生物)では、全がんの中で男性で7位、女性で9位である腎尿路系がん(膀胱癌と腎および尿路癌の合計)の検出にも大きく寄与する検査です。
この科目や分野の面白さや魅力は?
大きく分けて、分析系といわれる化学反応や定量検査と形態系である顕微鏡での細胞観察の両方が学べます。さらに詳細な患者状態を把握する精密検査、広くスクリーニング検査としてもアプローチするので、多角的な視点で広く臨床検査をとらえられる点が魅力と思います。今後、形態系ではAI(人工知能:artificial intelligence)が普及しさらなる発展が期待され、尿沈渣検査でもAIの開発が進み、研究テーマとしても大変興味深く、「患者とその家族のため」に何が出来るかを考え、学びと研究を行っています。ぜひ臨床検査技師養成校で開催されているオープンキャンパスに参加し、実際の臨床検査を体験してください。文章では伝えきれない、検査の魅力をわかっていただけると思います。

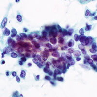
尿中悪性細胞分類に対するAI開発の卒業研究例 -
寄生虫学
寄生虫学中村 彰宏天理大学 医療学部 臨床検査学科
グロかわサイエンス!寄生虫のディープな世界
寄生虫の体のしくみや感染の広がり方を学び、顕微鏡で卵や原虫を観察する検査を通して、アニサキスやマラリアなどの感染症を診断するための知識と技術を学ぶ科目です。
どんなことを学ぶの?
寄生虫学は、「ちょっと怖い」「ちょっと不思議」「なぜかクセになる」…そんな“グロかわ”な生き物たちを通して、ヒトの健康と命を守る方法や検査を学ぶ科目です。
寄生虫というと「海外での病気」や「昔の話」というイメージを持たれがちですが、実はとても身近な存在です。近年ニュースで話題になるアニサキスは、「生食」文化を持つ日本の食卓とも深く関係していますし、世界の多くの地域で問題になるマラリアも、国際交流が進んだ日本では決して他人事ではありません。
授業では、まず寄生虫の基本的な姿や形、生活サイクル、ヒトへの影響など、基礎となる知識を学びます。実習では、顕微鏡を使って小さな卵や幼虫を観察し、大きさや形の特徴から種類を見分ける練習を行います。表面にフタのような構造を持つ卵、丸いもの、細長いもの、大きいもの、小さいもの…寄生虫の卵は実に個性的で、見比べるととても興味深い世界が広がり、そこに“命”を感じます!

寄生虫学実習における顕微鏡観察風景 
虫卵1:横川吸虫卵 
虫卵2:無鉤条虫卵 
虫卵3:ウエステルマン肺吸虫卵 アユの鱗についたメタセルカリア(横川吸虫の幼虫) また、食中毒の原因になるアニサキスについては、実際にサバを解剖し、白く細長い幼虫を探す実習も行います。初めて幼虫を見つけた時の衝撃と、「いた!」というワクワク感は、学ぶ人にとって忘れられない体験となるでしょう!

寄生虫学実習におけるサバの解剖によるアニサキス観察 
サバの内臓にくっついたアニサキス さらに、世界で多くの人が苦しむ世界三大感染症の一つであるマラリアについても学びます。顕微鏡で赤血球の中に潜む熱帯熱マラリア原虫を見つける実習では、その独特の形に「怖いけれど美しい」「なんだか不思議」と感じるかもしれません。
このように寄生虫学は、ヒトの生活や食文化、世界の感染症、そして顕微鏡を通じたミクロの世界まで、幅広く深く学べる大変魅力的な分野です!

熱帯熱マラリア患者における血液塗沫標本像 アニサキスが動く姿 学んだことは医療の現場でどのように役立つの?
寄生虫学で学ぶ内容は、実際の医療の場で直接役に立ちます。
まず、腹痛で病院を受診した患者さんの原因が、サルモネラなどの細菌による食中毒ではなく、アニサキスなどの寄生虫によるものだった場合、早く気づけるかどうかで治療方針が大きく変わります。患者さんの症状や食事歴を踏まえながら、適切な検査方針を選び、原因となる病原体を見つけ出す力が求められます。
また、海外渡航者が発熱して受診した際、マラリアを疑って顕微鏡で原虫を発見できれば、すぐに治療が開始でき、命を救うことにつながります。寄生虫の観察は「ただ見る」だけではなく、医療現場で検査内容や治療方針を決定するうえで非常に重要な意味を持つのです。
さらに、寄生虫学の知識は、患者さんの生活を守るための予防アドバイスにも役立ちます。
「生魚はこう扱うと安全」「海外ではこういった場所に注意する」など、寄生虫について知っているからこそ伝えられる情報があります。医療職にとって、検査を行うだけでなく、“予防を伝える力”も大切な役割です。
寄生虫学で身につく「観察力」「気づく力」「原因を探す力」は、臨床検査技師としてさまざまな場面で活かされ、患者さんの命を守る大切な礎になります。
この科目や分野の面白さや魅力は?
寄生虫学の最大の魅力は、「顕微鏡をのぞいた瞬間に広がる、命を感じる“別世界”」に触れられることです。
最初はただの丸や線にしか見えなかったものが、学びを重ねるにつれて「あ、これはあの卵だ!卵の中には幼虫がいる!」「この形はこの寄生虫だ!〇〇からやってきたのかな?」とわかるようになります。自分の“見える世界”が広がっていく感覚はとても刺激的でワクワクします!
さらに、寄生虫たちは生き残るために驚くような工夫をしています。卵の形、体のつくり、動き方、感染の広がり方…どれも「小さいのにすごい!命を感じる!」と思わず唸ってしまうほど巧妙です。
見た目は少しグロテスクでも、観察しているうちに「なんだかかわいい」「もっと知りたい」と感じる人が多く、まさに“グロかわ”の代表とも言える存在です。
寄生虫学は、
- 望遠鏡や顕微鏡が好き
- 生き物が好き
- 食の安全に興味がある
- 世界の感染症を学びたい
- 医療で人の役に立ちたい
という、さまざまな“好き”につながる分野でもあります。
小さな命の営みを知ることは、私たちの暮らしを見直すきっかけにもなります。寄生虫を学ぶことで、「世界はこんなにも不思議で奥深い」という気づきの瞬間がきっと訪れるはずです。
寄生虫学は、恐さと面白さが共存する“ディープ”な学問!
その世界をのぞけば、あなたも病みつきになるかもしれません!!
-
遺伝子関連・染色体検査学
遺伝子関連・染色体検査学福應 温純真学園大学
「命の設計図」から病気のナゾを解き明かす!未来の医療を支える遺伝子検査
染色体や遺伝子のしくみを基礎から学び、DNA抽出やPCRなどの解析技術を通して、がんや遺伝性疾患、感染症の診断を支える遺伝子検査の知識と技術を学ぶ科目です。
どんなことを学ぶの?
ミクロの設計図を読み解く技術と理論
この分野で学ぶことは、大きく分けて「染色体」という大きな視点と、「遺伝子」という非常に細かな視点の2つがあります。
まず、染色体検査については、染色体の数に間違いがないか(異数性)や、染色体の一部が入れ替わってしまっていないか(相互転座)といった、比較的大きな遺伝情報の変化を捉える方法を学びます。これは、いわば「命の設計図」という本のページ数が足りているか、ページが入れ替わっていないかを確認するような作業です。
次に、近年急速に進化している遺伝子検査では、さらにミクロな世界に踏み込みます。設計図のなかのたった一つの文字の間違い(1塩基の解像度)まで解析する技術を習得します。具体的な学習の流れとしては、いきなり検査の技術を学ぶのではなく、まずは土台となる「遺伝学」や「分子生物学」をじっくりと修得します。その基礎があるからこそ、なぜ遺伝子が変化するのか、それがどのように体に影響するのかを理解できるようになります。遺伝子検査学の講義では「遺伝情報が書き込まれている核酸(DNAやRNA)の抽出法」や、特定の遺伝子を何万倍、何億倍にも増やす「遺伝子の増幅法」を学び、実習を通して自分の手でそれらの解析技術をマスターしていきます。実習室では、細胞から目に見えないほど微量な核酸を取り出す作業など、プロの臨床検査技師に求められる高度な技術を体得していきます。学んだことは医療の現場でどのように役立つの?
病気の正体を見極め、治療を支える
ここで学んだ知識と技術は、現代医療のあらゆる場面で欠かせないものとなっています。
第一に、「病気の原因を突き止める」ために使われます。がんなどの病気において、どの遺伝子に異常(変異)が起きているかを調べることで、その人に最も効果的な薬を選ぶことが可能になります。最近では数十から数百の遺伝子の変異をまとめて解析する「がん遺伝子パネル検査」などが行われています。また、生まれつきの病気の診断においても、染色体の異常を見つけることは非常に重要な役割を果たします。
第二に、「感染症の原因の特定」です。皆さんも耳にしたことがあるPCR検査などは、まさにこの分野の技術そのものです。患者さんの体内にいるウイルスや細菌の遺伝子を抽出し、それを増幅して解析することで、目に見えない病原体の正体を素早く、正確に特定します。医療現場では、非常に微量なサンプル(検体)から結果を出さなければなりません。そのため、大学で学ぶ「あらゆる操作に細心の注意を払う」という姿勢が、患者さんの診断結果を左右する非常に重要なスキルとなります。皆さんが学校で磨く技術は、そのまま病院での正確な診断、そして患者さんの命を救うことへと直結しているのです。この科目や分野の面白さや魅力は?
生命の神秘に挑む、知的な探求
この分野の最大の魅力は、「目に見えない生命の情報を、自分の手で解き明かしていく」というワクワク感にあります。かつては顕微鏡で染色体の形を見るのが精一杯だった時代から、今ではたった一つの「塩基(遺伝情報の文字)」の違いまで見つけられるようになりました。この分野でのテクノロジーの進化のスピード感は、他の分野にはない刺激に満ちています。昨日まで分からなかった病気の謎が、新しい解析技術によって解明されていく。そんな医療の最前線に立ち合えるのが、この分野を学ぶ醍醐味です。
また、実習での「極限までの精密さ」を追求する作業も、この分野ならではの面白さです。扱うのは目に見えないほど微量な核酸です。ほんの少しのミスも許されない緊張感の中で、正確に核酸を抽出し、目的の遺伝子を解析できた時の達成感は格別です。写真は、学生たちが真剣な表情で細胞から核酸を取り出している様子です。
遺伝子の世界は、まだまだ解明されていないことがたくさんあります。基礎から応用までをしっかり学び、最新の解析装置を使いこなせるようになることで、皆さんは「生命の設計図」の読み手として、これからの未来の医療を形作っていく存在になれるはずです。
-
病態学
病態学勝田 仁九州大学
病気のしくみがわかると、検査の意味が見えてくる
――医療を支える「病態学」を学ぶ――病気が起こる仕組みや体の中で生じる変化(病態)を学び、検査データの背景にある生体の反応を理解することで、診断や治療の判断を支える知識と考える力を身につける科目です。
どんなことを学ぶの?
病態学では、「病気がどのようにして起こり、体の中で何が起きているのか(病態)」を学びます。たとえば、炎症が起きているとき、血液や臓器ではどのような変化が起きているのか、がんや糖尿病では体の働きがどのように変わるのか、といったことを理解します。
臨床検査では、血液や尿、組織などを調べて数値や画像として結果が示されますが、その意味を正しく読み取るためには、「なぜその数値が変化するのか」を知っておくことが重要です。病態学は、検査結果の背景にある体の変化を理解するための基礎となる科目です。学んだことは医療の現場でどのように役立つの?
臨床検査は、病気の診断、治療法の選択、治療効果の判定など、医療のあらゆる場面で活用されています。
実際に、患者さんの治療は、「検査によって病態を診断する → 病態に応じた治療法を選んで実施する → 再び検査で病態の変化や治療効果を確かめる」という流れで進められます。効果が不十分な場合には、再び検査によって病態を評価し直し、次の治療へとつなげていきます。このように臨床検査は、診断から治療、そして次の治療を考えるすべての段階で、病態を理解するための大切な情報を提供するという、とても重要な役割を担っているのです。
さらに、臨床検査技師は、検査を正確に行うだけでなく、得られたデータから患者さんの体の状態を読み取り、医師に伝える重要な役割を担っています。そのためには、検査結果と病気の関係を深く理解していることが欠かせません。病態学で学ぶ知識は、医療現場で判断を支える「考える力」の土台になります。
この科目や分野の面白さや魅力は?
近年、臨床検査の分野は、AI(人工知能)などの技術の進歩によって大きく発展しています。これからの臨床検査技師には、検査を行うだけでなく、よりよい検査方法や新しい検査項目を生み出す力も期待されています。
そのためには、「病気はなぜ起こるのか」「体の中で何が異常になるのか」を理解することが不可欠です。病態学は、生理学、生化学、血液学、病理学、免疫学、微生物学などの科目と深く関わりながら、病気の全体像を理解する力を養います。
検査データの向こう側にいる患者さんの体の状態を想像し、医療に貢献できることは、臨床検査技師ならではの大きなやりがいです。ぜひ病態学を通して、医療を支える検査の奥深さと面白さを感じてください。そして将来、新しい検査や医療の発展に挑戦する臨床検査技師として活躍してくれることを期待しています。 -
生理検査学
生理検査学植松 明和大東文化大学
大切なのは患者さんを思いやる気持ち。患者さんに安心感を与える対応をしよう!
心電図や超音波検査など、生体を直接測定するさまざまな生理学的検査の原理と技術を学び、患者さんへの適切な対応を通して、心臓・呼吸・神経などの機能を評価する知識と技術を身につける科目です。
どんなことを学ぶの?
臨床検査には、検体検査と呼ばれる患者さんから採取した血液、尿、組織などのサンプルを用いて行う検査と、生理学的検査と呼ばれる患者さん自体をサンプルとして行う検査があります。「臨床生理学」では、検査機器やセンサを使い、直接、患者さんの身体を計測・評価するための知識や技術を学びます。
臨床生理学(生理学的検査)には、心電図検査、血圧脈波検査、呼吸機能検査、脳波検査、筋電図検査、神経伝導検査、心臓、血管、腹部、骨盤腔、体表などの超音波検査、磁気共鳴画像検査(MRI)、熱画像検査、眼底写真、平衡・聴覚検査、味覚・嗅覚検査ほか、様々な種類があります。いずれも患者さんから生体の情報を得て、検査結果の報告を行います。そのため、患者さんへの「接遇」がとても重要になります。接遇とは、患者さんに対して思いやりを持ち、適切な言葉を用いて接することであり、具体的には挨拶、表情、身だしなみ、態度、言葉遣いから成り立っています。私たちは、患者さんに不快な気持ちを与えず、リラックスして検査に臨んでもらうことを心がけており、病院に就職後、すぐに患者さん対応ができるよう「接遇」についても学ぶ必要があります。学んだことは医療の現場でどのように役立つの?
生理学的検査で医師からの依頼が多い、代表的な検査について説明します。
接遇
「臨床生理学」の実習では、実践形式に沿って授業を行うことで、患者さんへの思いやりと接遇を持って検査に臨む人材を育成しています。
この科目や分野の面白さや魅力は?
臨床検査技師として患者さんに接する機会が多いのは、採血と生理学的検査になります。生理学的検査は患者さんに対して直接検査を行うことから、患者さんとのコミュニケーションが重要になります。私は、患者さんとコミュニケーションを取りつつ、患者さんと協力し、また寄り添い、検査を行うところが、生理学的検査の最大の魅力だと感じています。患者さんの表情やしぐさ、声のトーンなどから、患者さんの不安や緊張を汲み取るとともに、私の表情やしぐさ、会話を通して、患者さんがリラックスして検査を受けていただければ嬉しく思います。また、患者さんから「丁寧にありがとう。」や「今日はあなたのおかげで頑張れた。」などのお言葉をいただく機会があると、臨床検査技師として生理学的検査を行っていて本当に良かったと感じます。ただし、生理学的検査の知識や技術が伴っていなければ、自信を持って検査することも患者さんに気遣うことも中途半端になってしまいます。そのためにも自分が携わる検査については、最新の技術や知識の習得、日ごろからの学習、検査技術の向上を意識して努めていかなければなりません。自信を持って検査を行い、患者さんのリラックスした表情や笑顔がみられるように一緒に学習していきましょう。
-
生化学検査学
生化学検査学石井 直仁北里大学
“血液の中の化学反応”を読み解く―診断を支えるサイエンス
血液や体液中の成分が関わる生命現象の化学反応を学び、化学分析や電気泳動などの検査技術を通して、糖尿病や脂質異常症などの病気の診断や病態の理解、治療評価を支える生化学検査の知識と技術を学ぶ科目です。
どんなことを学ぶの?
「生化学」は「生物化学」とも言われていますが、医療や臨床検査での「生化学」は、ヒト(生体)を対象とした「生命現象の化学」でもあります。生化学検査学では、「健康時(生化学)」と「病気時(臨床化学)」に体の中で起きている化学反応を対比して学びます。生体の構造、機能、代謝を化学反応で解明した生命現象を学ぶことは、「免疫学」、「血液学」、「微生物学」、「臨床化学」、等の勉強に繋がります。
測定(検査)値は、正確(真の値に近い)で、精度良く(ばらつきが小さい)なければいけません。そのため、化学分析はもとより物理学分析(光の透過・吸収、電気伝導、質量、等)も用いられています。「生化学検査学」では、講義や実習を通して、化学分析や物理学分析の原理や技術を学びます。
血液や体液中の成分を化学分析により測定することで、病因・病態の解明、診断、治療の評価に貢献しています。ポリアクリルアミドゲル電気泳動の実習で、ゲルのホールに分離分析するタンパク質試料(青色)を塗布しています。溶液中で荷電を帯びたタンパク質に電気を流すと、小さなタンパク質ほどゲルの網目にひっかからずに早く移動します。溶液の中に含まれる、種類の異なるタンパク質を、分子量の差を利用して分離することができます。

ポリアクリルアミドゲル電気泳動(タンパク質分離分析)とタンパク質電気泳動像 タンパク質と色素の反応液を、光の吸収を用いる比色計(吸光光度計)で測定し、タンパク質濃度を数値化します。検体(血液や尿)に含まれるタンパク質の濃度の違いが、色調の違いとなります。

タンパク質測定(色素法) 
学んだことは医療の現場でどのように役立つの?
医療の現場では、患者さんが、元気なのかな? 病気なのかな? 病気が進行しているのかな? 治療は上手くいっているのかな? 再発していないのかな? を知りたいです。学んだ血液や体液中成分の化学(物理)分析方法でこれらを知ることができるので、ほぼ全ての診療科(病院)で診断や治療方針決定に役立っています。肝機能や腎機能、血糖、脂質、腫瘍マーカー、等の「生化学検査」(検査値)は、病気の早期診断や治療効果の判定に欠かせません(病因・病態の解明、診断、治療の評価)。
この科目や分野の面白さや魅力は?
「理科が好き!」、「医療を学びたい!」と思う皆さんは、体のメカニズムに興味があるのではないでしょうか。特に「健康時」と「病気時」に体のメカニズムがどのように変わるのか知りたいのではないでしょうか。「分析」を仕事にできます。より一層の興味が湧いてくると、「新しい診断マーカーによる早期診断法、治療薬、予防法の開発」を行う研究への道が開かれるかもしれません。
現在、「生化学検査」は、遺伝子検査やAIによるデータ解析などと結びつき、患者さん一人ひとりに最も合った治療法や薬を選択する医療(個別化医療、オーダーメイド医療)に発展しています。
高齢化や生活習慣病の増加により、「生化学検査」の重要性は今後も高まるでしょう。「生化学検査」や他の科目を学び、「臨床検査技師」になり健康長寿、社会福祉への医療貢献を目指してみませんか。
-
解剖学(人体の構造と機能)
解剖学(人体の構造と機能)星 治東京科学大学
正確な検査は“体の理解”から ―人体という“精巧なシステム”を読み解く―
人体の構造や機能、臓器の位置関係や生理的な仕組みの理解を通して、検査値の解釈や画像検査・検体採取に必要な「身体の構造を的確に捉える力」を身につける科目です。
どんなことを学ぶの?
解剖学では、人間の身体がどのような構造を持ち、どのように機能しているのかを体系的に学びます。骨格・筋肉・神経・循環器・呼吸器・消化器など、臓器や組織の位置関係や構造、機能の基礎を理解することが中心です。また、臓器同士のつながりや、体内で起こる生理的なプロセスも合わせて学ぶことで、身体全体を統合的に捉える力が身につきます。臨床検査技師にとって、検査値の意味を理解するための基盤となるだけでなく、画像検査や採血・検体採取の際に必要な「身体の地図」をとらえるための重要な学問です。

人体解剖模型 
泌尿器系(腎臓、尿管、膀胱、尿道)の模型 学んだことは医療の現場でどのように役立つの?
解剖学の知識は、臨床検査技師として働く際のあらゆる場面で役立ちます。例えば腹部超音波検査では、臓器の位置や形態、周囲の血管や構造物を理解していなければ、目的の臓器を正確に描出することができません。肝臓の区域、胆嚢の走行、膵臓の深さや背側の血管など、解剖学的理解があることで、異常所見を見逃さず、より質の高い検査が可能になります。また、採血や検体採取では血管の走行や周囲組織の構造を把握していることが、安全で確実な手技につながります。さらに、検査データの解釈においても、臓器の機能や構造を理解していることで、異常値の背景にある病態をより深く読み取ることができます。解剖学は、検査の精度と医療安全を支えるための土台となる学問です。
この科目や分野の面白さや魅力は?
解剖学の魅力は、人体という「最も身近でありながら最も精巧なシステム」を理解できる点にあります。臓器の形や位置にはすべて意味があり、その構造が機能と密接に結びついていることを知ることで、驚異的な身体の奥深さを感じることになります。また、学んだ知識がそのまま臨床現場で活きる実感を得られるのも大きな魅力です。例えば超音波検査で臓器を探し当てた瞬間や、構造を理解しているからこそ異常所見に気づけたとき、解剖学の学びが自分の技術に結びついていることを実感します。さらに、解剖学は単なる暗記科目ではなく、身体の立体構造をイメージしながら理解を深める「パズルに似た面白さ」もあります。人体の仕組みを知ることにより、医療者としての大きな視野を得ることができます。
-
病理学 / 病理検査学
病理学 / 病理検査学関 貴行日本医療科学大学 保健医療学部
我々の身体に何が起こっているのか!?
その原因を顕微鏡で突き止め医師の診断をサポート!病気によって細胞や組織に生じる変化のしくみを学び、組織標本や細胞標本の作製と顕微鏡観察を通して、がんをはじめとする病気の最終診断を支える病理検査の知識と技術を学ぶ科目です。
どんなことを学ぶの?
病理組織細胞学は大きく「病理学」と「病理検査学」に分けることができます。
1.病理学
病気の原因(病因)やメカニズムを解明し、それらを結果(臨床症状や体内の細胞・組織の変化)と結びつける学問です。医学分野のひとつですが、同時に医療としての「病理診断学」として大きな意味合いがあります。病気の原因やメカニズムを明らかにすることにより、それぞれの患者さんに対してマッチした治療や予防を行うことができるようになります。
2.病理検査学
患者さんから採取された細胞や組織(検体)を処理し、病理診断に用いられる顕微鏡用病理標本(プレパラート)を作製する技術について学びます。プレパラート作製の過程で検体に対して行う様々な処理(以下)の原理や意義などについて学び、様々なプレパラートを作製できるようになります。
代表的な組織プレパラート作製の流れ
1.検体の固定:ホルマリン液などを使い、細胞や組織の状態を保ちます。
2.包埋:パラフィンという「ろう」に検体を埋めて固めます。
3.薄切:鋭い刃のついた専用の装置で検体をマイクロメートル単位(1マイクロメートル=0.001ミリメートル!!)に薄くスライスします。
4.染色:スライスした検体を色素などで染色しプレパラートを完成させます。学んだことは医療の現場でどのように役立つの?
臨床検査技師が行う検体検査のひとつに「病理学的検査」があります。検査技師が作製したプレパラートを専門の医師や検査技師が観察し、どのような事が起きているかを判定(病理診断)する検査です。病理学的検査は精密検査の一種であり、すべての患者さんに対して必ず行われるというものではありません。ただこの検査が行われた場合は、その判定結果がその病気の「最終診断」となり、その後に行われる治療等はこの診断結果を絶対的な根拠として進められることになります。特に、日本において死因の第1位である「がん」(悪性腫瘍)の診断と治療において、病理学的検査は非常に重要な役割を果たしています。
また病理学的検査の一種である「細胞診検査(細胞学的検査)」は、細胞検査士(そのための認定試験に合格した検査技師)が最初の標本観察を担当しており、がんの早期発見に大きく貢献しています。この科目や分野の面白さや魅力は?
病理標本を作製する作業は「料理」に似ていると、よく言われます。患者さんから検体として得られる細胞や組織は「生もの」ですから、何もしないと体内にあった元の状態から変化し、正しい診断が行えなくなってしまいます。そのため、先に書いたような工程(固定~染色)で検体を適切に処理する必要があるわけです。自動化が進む臨床検査において、「手に職」を実感できるところが病理の楽しいところだと感じます。
また病理は顕微鏡を覗いて異常な細胞を発見するのが重要なミッションになるわけですが、我々の身体を作る細胞や組織は本当に多彩です。細胞が作る「社会」の中で、異常細胞を見つける作業は非常に難しく責任重大ですが、ミステリーの中で探偵が真犯人を突き止めるような、そんな面白さがあると感じています。 -
血液検査学
血液検査学關谷 暁子北陸大学 医療保健学部
「数」「見た目」「はたらき」の3つの視点で「はたらく細胞」のリアルに迫る!
赤血球・白血球・血小板など血液細胞の数や形、血液が固まる仕組みを学び、顕微鏡観察や凝固検査を通して、貧血や白血病、血栓症などの診断を支える血液検査の知識と技術を学ぶ科目です。
どんなことを学ぶの?
臨床検査のうち「血液学的検査」と呼ばれる検査を実施し、結果を適切に解釈・報告するための知識や技術を修得します。講義や実習を通して、おもに以下のようなことについて学びます。
1.血液細胞の「数」(血球計数)
赤血球、白血球、血小板がつくられる仕組み、ヘモグロビンのはたらき、血液細胞の「数」に異常が表れる様々な病気や、検査の方法を学びます。

赤血球・白血球・血小板 2.血液細胞の「見た目」(形態学的検査)
血液細胞の「見た目」(細胞の形や細胞内の構造物)に基づく細胞の見分け方、正常な細胞と異常な細胞(白血病細胞など)の見分け方、細胞を観察するための標本の作製方法などを学びます。

5種類の白血球 
血液標本の染色 
染色中の血液標本 3.血液が固まる仕組み(止血・凝固検査)
血管の中をサラサラと流れている血液が、ひとたび出血などで身体の外に出るとすみやかに固まり止血する仕組みについて学びます。また、その仕組みに異常が起きた時に、血液が血管の中で固まってしまう病気(血栓症)や、逆に出血が止まりにくくなってしまう病気(異常出血)、その検査方法を学びます。

血液(血しょう)が試験管の中で固まるまでの時間を測定する検査 学んだことは医療の現場でどのように役立つの?
「血液学的検査」は、医療機関で最も多く実施されている検査のひとつです。血液中の細胞の数や見た目を調べることにより、貧血や感染症、栄養状態など、全身の様々な異常がわかります。
白血病などの「血液のがん」と呼ばれる病気では、検査をする臨床検査技師が最初に異常を発見することが多いです。正常な細胞と異常な細胞を正しく見分け、迅速に医師に報告することが早期の診断や治療開始に結びつき、患者さんの命を守ることに繋がります。
「脳こうそく」、「心筋こうそく」、「エコノミークラス症候群」などの病気は、血管の中で血液が固まること(血栓症)によって起こります。血栓症で命を落とす人の数は「がん」の次に多いと言われています。過去に血栓症になった患者さんは、血管の中で血液が固まらないようにする薬を飲むため、逆に出血しやすくなってしまいます。臨床検査技師が「血液の固まりやすさ」や「出血のしやすさ」を調べることは、血栓症や出血から人々の健康を守ることに繋がります。

正常な細胞と白血病細胞 この科目や分野の面白さや魅力は?
顕微鏡で血液細胞を観察した時、最初はどの細胞も同じように見えるかもしれません。しかし、知識が増えるにつれて、細胞を見た目の特徴によって区別できるようになります。
さらに知識が増えると、細胞の数や見た目の変化から病気を推定できるようになります。自分が身につけた知識や技術によって、患者さんの命を守ることができるという喜びを実感できることと思います。

血液細胞の観察 私たちの身体の中を流れている一つ一つの血液細胞には役割があり、日々、私たちの健康を守ってくれています。その仕組みを詳しく知ると、自分の中にある細胞たちを愛おしく感じることと思います。また同時に、その仕組みのすごさと巧妙さに圧倒されることでしょう。
血液学検査学を学ぶことには、そんな感動があふれています。
血液細胞(白血球)の観察とスケッチ 
血液細胞(白血球)の観察とスケッチ_実習ノートより -
微生物検査学
微生物検査学松村 充帝京大学 医療技術学部
「見えない“病原体”の正体を暴く!」――微生物検査学の世界へようこそ
細菌や真菌など病気の原因となる微生物の特徴や感染のしくみを学び、培養や染色、薬剤感受性試験などの検査を通して、感染症の診断や治療薬の選択を支える微生物検査の知識と技術を学ぶ科目です。
どんなことを学ぶの?
微生物検査学は、風邪や食中毒、肺炎などを引き起こす「目に見えない微生物」、つまり細菌や真菌(カビなど)の正体を明らかにする学問です。
微生物というと「難しそう…」と感じる人もいるかもしれませんが、実は私たちの体や生活の中にたくさん存在し、健康と深く関わっています。授業ではまず、細菌や真菌(カビなど)の「形」や「性質」をやさしく学びます。
丸い形の「球菌」、細長い形の「桿菌」があり、さらに「グラム染色」という染め方によって、紫色に染まる「グラム陽性」、赤く染まる「グラム陰性」に分けられます。
細菌の形の例 学んだことは医療の現場でどのように役立つの?
微生物検査学で学ぶ内容は、医療の現場でまさに“なくてはならない力”です。たとえば、発熱や咳、のどの痛みなどの症状がある患者さんが病院に来たとき、医師はまず「どんな微生物が原因なのか」を知る必要があります。臨床検査技師は、血液・尿・痰などの中から病原体を探し出し、「何の菌が悪さをしているのか」を調べます。
この結果は、医師が適切な治療薬を選ぶための重要な手がかりになります。特に、薬が効かない「薬剤耐性菌」が増えている現代では、どの薬がその細菌に効くのかを調べる薬剤感受性試験がとても重要です。検査技師の正確な検査が、患者さんの命を救う治療につながることもあります。
また、病院の中で感染が広がっていないかを確認する「感染対策」でも、微生物の特徴を見分ける技術が欠かせません。同じ種類の菌が複数の患者さんから見つかった場合、微生物検査の結果が「院内感染の可能性」を判断する助けになります。
微生物学的検査は、患者さんの健康を守るための“医療の要(かなめ)”と言えるのです。
この科目や分野の面白さや魅力は?
微生物検査学の一番の魅力は、「目では見えない世界を、自分の手で発見できること」です。
顕微鏡をのぞくと、普段は見えない細菌たちがいろいろな形や色で姿を現します。最初は同じに見えても、観察を続けるうちに細かな違いが分かるようになり、「この細菌は○○かもしれない!」と推理するのが楽しくなります。まるで、生き物の特徴から正体を当てる“微生物の探偵”のような気分です。
さらに、自分が調べた検査結果が、患者さんの治療にそのままつながるという大きなやりがいがあります。「誰かの健康を守る力になる」という実感は、この分野ならではの魅力です。
微生物の世界は広く、まだまだ分かっていないこともたくさんあります。
だからこそ、学ぶほどに新しい発見があり、科学が好きな人にも、人の役に立つ仕事がしたい人にもおすすめの分野です。
臨床微生物検査学は、“見えない世界の不思議”と“医療のやりがい”その両方を味わえる学問です。ぜひ、一緒にこの奥深い世界を探検してみませんか?
-
免疫検査学
免疫検査学川部 勤名古屋大学 大学院医学系研究科総合保健学専攻
免疫の謎を解き明かす!
―病気と闘う力を検査で見える化体を守る免疫の仕組みや抗体・免疫細胞の働きを学び、抗体や抗原を調べる検査を通して、感染症やアレルギー、自己免疫疾患などの診断を支える免疫検査の知識と技術を学ぶ科目です。
どんなことを学ぶの?
臨床免疫検査学では、「免疫」という体を守る仕組みを理解し、その働きを調べる方法を学びます。免疫は、ウイルスや細菌などの感染症、さらにはがんから体を守る重要な防御システムです。講義では、免疫の中心となるリンパ球(T細胞とB細胞)や、それらが情報をやり取りする仕組みを学びます。T細胞は多くの場合、「免疫」のバランスを整え、B細胞は「抗体」をつくる細胞になります。細胞同士は、表面のタンパク質を使って直接情報を伝えたり、「サイトカイン」という物質を放出してメッセージを送ります。こうした仕組みを理解することで、病気の原因や進行を調べる検査の意味がわかるようになります。たとえば、インフルエンザや新型コロナウイルス感染症では、体がウイルスと戦うために抗体を作ります。検査では、この抗体がどれくらいあるかを調べることで、感染したかどうか、またワクチン接種では免疫がついているかを確認できます。さらに、PCR検査や抗原検査も免疫と深く関係しています。こうした検査の仕組みを理解することで、ニュースでよく聞く「陽性」「陰性」の意味や、なぜ検査が必要なのかがわかるようになります。
免疫検査では、感染症や自己免疫疾患、アレルギー、がんなど、幅広い病気の診断や治療方針の決定に役立つ情報を得ることができます。例えば、血液中の抗体の量を測定したり、免疫細胞の種類や働きを評価することで、病気の状態を詳しく把握できます。学んだことは医療の現場でどのように役立つの?
医療現場では、免疫の働きを理解することが治療に直結します。免疫検査は感染症の診断に欠かせません。検査の結果は、治療方針や隔離の必要性を決める重要な情報になります。
近年、免疫細胞やサイトカインの働きを調節する薬(抗体医薬)が多く使われています。がん、自己免疫疾患、アレルギー性疾患などでは、これらの薬を適切に使うために、患者さんの免疫状態を正確に評価する検査が欠かせません。臨床免疫検査学で学ぶ知識は、こうした検査結果を正しく理解し、治療方針を決めるうえで非常に重要です。
臨床検査技師は、検査データを通じて医師に「治療の根拠」を提供します。免疫学的検査は、病気の状態を数値や画像で「見える化」することで、患者さんに最適な治療を選ぶための大切な情報源となります。この科目や分野の面白さや魅力は?
免疫学は、世界的に注目される分野です。日本からも利根川進先生、本庶佑先生、坂口志文先生といったノーベル賞受賞者が輩出されており、研究の最前線では次々と新しい発見が生まれています。免疫の仕組みを理解することで、病気の謎が解け、治療法が進化していくーそのダイナミックな変化を感じられるのが、この分野の魅力です。
身近な感染症から最先端のがん治療まで、免疫は医療のあらゆる場面で活躍しています。インフルエンザや新型コロナウイルスの検査は、みなさんも受けたことがあると思いますが、その裏側には免疫の仕組みが関わっています。こうした「身近な話題」と「最先端の科学」がつながっているのが、この分野の面白さです。
さらに、免疫は神経系とも情報を交換していることがわかってきており、心と体のつながりを科学的に解明する研究も進んでいます。こうした新しい知見は、検査法や治療法の開発につながります。「病気と闘う力を見える化する」ーその最前線で活躍する臨床検査技師を目指して、一緒に学んでみませんか?
「フローサイトメトリー」という分析法を用いたTリンパ球(T細胞)の分類
見た目では区別がつかないTリンパ球を、細胞の表面に存在する分子の違いに基づき詳しく分類します。
羊赤血球に対する抗体産生細胞(B細胞)の検出
抗体産生細胞(B細胞)がつくる抗体のはたらきにより、周囲の赤血球が壊れます(溶血)。目に見えない抗体の存在が分かり、また、溶血の程度を測定することで、B細胞が産生した抗体の量や免疫応答の強さがわかります。 -
輸血・移植検査学
輸血・移植検査学石井 恭子日本栄養大学栄養学部
輸血検査は「命」を守る!
輸血時の血液型検査や交差適合試験、さらに臓器・骨髄移植に関わるHLA検査などを通して、安全な輸血や臓器・細胞移植を支えるための知識と技術を学ぶ科目です。
どんなことを学ぶの?
輸血・移植検査学では、主に患者さんから採取した血液を検体として免疫血清学的あるいは遺伝子学的検査を実施し、輸血時における適合血の選択や細胞・組織・臓器の移植時の適合性診断などを行います。
“輸血”とは、手術時の出血や白血病などの造血障害の際に不足した血液成分を補う治療法のことです。他人の血液(細胞)を身体に入れるということは、臓器移植や骨髄移植と同様の行為であり、正しい検査によって適切な輸血(血液の選択)が行われなければ、感染症や重篤な副反応を起こす可能性があります。
講義や実習を通して、主に以下のようなことを学びます。

輸血 1.血液型の検査
血液型にはABO血液型、RhD血液型があり、これらは輸血の際に最も重要な血液型です。赤血球膜状にはABO血液型抗原(A抗原、B抗原)があり、これら抗原と血液中の規則抗体(抗A、抗B)との反応によって起こる輸血副反応を防ぐことが必要です。輸血の際は原則として同型を輸血します。しかし血液型が適合していても受血者の血清(血漿)中に供血者の血液と反応(結合)する抗体があった場合、輸血後に赤血球が破壊されてしまう(溶血)といった重篤な副反応を起こします。そのため、血液型のみでなくさらに詳しい検査(不規則抗体検査のスクリーニング・同定)を行い、免疫抗体の有無を検査し、輸血の適合性や安全性を確認します。

輸血検査で使用する試薬や試験管の例 
スライド法による血液型検査の様子 
輸血検査を行う臨床検査技師 2.交差適合試験
輸血は患者(受血者、レシピエント)と輸血用血液製剤(供血者、ドナー)の血液型を適合させ、原則として同型を輸血します。交差適合試験は患者(受血者)に使用する血液製剤の安全性を確認する輸血前の重要な検査です。輸血用血液製剤を選択した後、実際に輸血をしても問題ないかを輸血の前に検査します。受血者血漿(血清)と供血者血球を試験管内で反応させ凝集の有無を確認する主試験、受血者血球と供血者血漿(血清)を反応させる副試験を行います。凝集しないことを確認することで重篤な輸血副反応の一つである免疫性の溶血性輸血副反応などを防止することを目的としています。

輸血検査で使用する試薬と検査結果例 
輸血検査で使用する遠心機と試薬 
凝集を判定する様子 3.移植のための検査
骨髄移植や臓器移植時の移植前検査では、HLA(human leukocyte antigen)抗原をはじめとした各種抗原や抗体の検査を実施し、移植時の適合性を判定する検査を行います。HLA抗原とは自分と他人を区別する目印のことです。我々は種としては同じヒトではありますが、私たちの身体を構成するすべての細胞表面には、赤血球を除いてHLA抗原を発現しています。レシピエントがドナーのHLA抗原に対する抗HLA抗体を保有している場合は拒絶反応が起こる原因となります。
学んだことは医療の現場でどのように役立つの?
輸血検査は血液補充療法を必要としている方に適正な血液製剤を調べて供給することにより、重大な副反応を未然に防ぐ重要な検査です。異なる血液型を輸血することは、患者さんの生命に関わります。また母児間血液型不適合妊娠(例:RhD陰性の母体とRhD陽性の児)の場合、胎児・新生児は溶血性疾患を起こす可能性があります。このような場合は事前に検査を行うことで発生を予測し、RhD陰性の母体と胎児・新生児への処置を行うことが出来ます。

血小板製剤の品質を確認する臨床検査技師 この科目や分野の面白さや魅力は?
輸血検査とは臨床検査の中でとても重要な検査です。現在の技術では血液を人工的に作ることはできません。そのため献血などでヒトから得られた血液を利用して血液製剤をつくり、適合血を検査することになります。自分が学んだ知識を生かし、検査で適合血を見つけることで患者さんの命を助ける、守ることに繋がります。とてもやりがいのある検査です
-
公衆衛生学(保健医療福祉と臨床検査)
公衆衛生学(保健医療福祉と臨床検査)鈴木 康司藤田医科大学
健康を守る社会をつくる
― 公衆衛生学の学び多くの人の健康データや生活環境・社会制度と健康の関係を学び、病気を未然に防ぐ予防対策や健康づくりの仕組みについて理解し、社会全体の健康を守る公衆衛生の役割を学ぶ科目です。
どんなことを学ぶの?
医療の仕事は、目の前の患者さんを治療することだけではありません。病気の発症を未然に防ぎ、多くの人の健康を守ることも非常に重要です。公衆衛生学は、医療の現場で「予防」の視点を持つために必要な学問であり、科学的根拠に基づいて多様な視点から健康課題を捉え、効果的な予防策を立案・実施する能力を養います。
私たちの健康上の課題は、ライフステージによって異なります。公衆衛生学では、乳児期、学童期、成人期、高齢期など、人生の各段階で異なる健康課題やリスク要因を学び、それに基づいた疾病予防の具体的な方法や対策を身につけます。
また、健康は日常の環境にも大きく影響されます。空気や水の質、室内環境、職場環境などが健康に与える影響を学ぶとともに、環境検査の技術も習得します。「環境を整えることが病気の予防につながる」という考え方も、公衆衛生学の重要なポイントです。
さらに、多くの人から収集したデータを用いて病気の原因を究明する方法も学びます。
遺伝子や生活習慣、居住・職場環境といったさまざまな情報をもちいて病気との関連を研究し、より効果的な予防対策を考えることが、公衆衛生学の大切な役割です。学んだことは医療の現場でどのように役立つの?
日本では、臨床検査技師は、医療機関での検体検査や生理機能検査に加え、環境や食品の安全を守る衛生検査にも携わるなど、医療・衛生の幅広い分野で検査業務を通じて人の健康を支える専門家として活躍しています。その活躍の場は、病院やクリニックだけでなく、健診センターや保健所など多岐にわたります。
健診センターでは、人間ドックや健康診断、がん検診を担当し、がんを含む生活習慣病の早期発見・早期治療や生活習慣の改善指導につながる業務をしています。また、保健所では、感染症が疑われる場合の細菌・ウイルス検査や食中毒の原因究明のための調査、食品や水の安全性を確認する検査を行い、地域全体への健康被害の拡大を防ぐ重要な役割を担っています。
公衆衛生学の学びは、こうした予防医療の最前線で働くための基礎となる知識と技術です。さらに、臨床検査技師が日常業務で得られた検査データなどを用いて研究をおこなう際にも、公衆衛生学の知識・技術は大きな支えとなります。この科目や分野の面白さや魅力は?
臨床医学が患者さん一人ひとりに向き合う医療であるのに対し、公衆衛生学は病気の原因を明らかにし、「病気にならない社会をどうつくるか」を追究する学問です。その公衆衛生学における大きな柱の一つが疫学です。疫学では、多くの人から収集したデータを分析し、「どのような生活をしている人が病気になりやすいか」「どのような環境が病気を広げやすいか」を科学的に調べます。病気の原因や広がり方を明らかにする疫学は、まるで「病気の謎を解く探偵」のような役割を果たします。こうして得られた知見は、誰を、いつ、どのように守るべきかという判断の科学的根拠となり、病気の予防対策として社会に還元されます。その結果、何万人、何百万人もの命や健康を守ることにつながります。例えば、予防接種や健康診断、感染症対策、生活習慣病の予防、働く環境の改善といった施策は、疫学研究で得られた知見に基づき制度や仕組みとして整えられ、私たちの日常生活に組み込まれています。私たちが意識せずに享受している安全や健康の多くは、公衆衛生学・疫学によって支えられています。
このように、公衆衛生学は、社会全体の視点から医療を考え、人々の未来の健康を支える学問です。みんなが安心して暮らせる社会の実現に貢献できる点が大きな魅力です。 -
医用工学 / 情報科学
医用工学 / 情報科学渡邉 幹夫大阪大学
検査情報を正しく取得し、さまざまな視点、さまざまな解釈をすることで患者さんの今と将来の健康に貢献する
医療機器の仕組みや安全な使い方と、検査データを整理・分析して活用する方法を学び、正確な検査と医療の発展を支える知識を身につける科目です。
どんなことを学ぶの?
臨床検査、とくに患者さんの身体の状態を直接検査するときに使う検査機器(心電図や超音波検査、脳波など)の操作や調整に必要な知識や原理、特性を学ぶのが医用工学です。電気・電子回路の基礎から医用機器の電気的安全対策まで幅広く学ぶ必要があります。
すべての臨床検査で得られた情報や患者さんの情報を正しく理解・解釈し、処理するための知識や技術を学ぶのが情報科学です。情報のまとめ方、プレゼンテーションの方法、統計学的な処理の方法、それらを用いて臨床検査が正確に精密に実施されているか検証する方法などを学びます。最近ではAIをはじめとするデータサイエンスについても学ぶ必要がありますし、患者さんの個人情報を扱う上で必要な情報セキュリティに関する知識も重要な学習内容です。
学んだことは医療の現場でどのように役立つの?
医用工学は、臨床検査を実施するうえで患者さんの情報を正しく得るために最適な機器の設定と操作を行い、機器の状態を常に把握するのに必須です。誤った操作や設定は正しくない検査結果につながるだけでなく、患者さんの健康に影響する可能性もありますので重要な科目です。
情報科学は、日々の臨床検査が正確に、精密に実施されているかを常に監視するために必要です。さらに、より進んだ統計学的な解析を行うことで、臨床検査が患者さんの診断や治療により効果的に使えるように改良したり、新しい検査を開発したりすることもできます。近年はがんゲノム医療に代表されるように遺伝子を用いた検査も進んでおり、膨大な検査情報を効率的効果的に処理するスキルは重要です。そしてAIを応用してより効率的な検査を行う試みも飛躍的に進んでいますから、情報科学は臨床検査全般にとって非常に重要な分野になっています。個別化医療、そして予知診断を行うためにも必須のスキルです。

この科目や分野の面白さや魅力は?
情報科学は、一見何も意味がないように見えるデータの山を解析することによって、患者さんに役に立つ新しい検査の活用方法を発見したり、正確性に問題がある検査結果をいち早く見つけたりして、臨床検査の生のデータを何倍にも活かすことができる方法です。またAIを用いることで、人間の発想ではなかなか気づかない法則やポイントを素早く発見し、新しい検査につなげるだけでなく、例えば、これまでは長年の経験がないと困難であったがん細胞かどうかの判定なども効率よくできるようになるなど、人間の能力を補い助けるような活用ができるようになってきています。
-
医療安全管理学
医療安全管理学菅野 光俊福島県立医科大学 保健学部
医療の「当たり前の安全」を支える力を学ぶ!
医療現場で起こりうるミスや感染などのリスクを防ぐための考え方や対策を学び、安全で適切な医療を支える知識と姿勢を身につける科目です。
どんなことを学ぶの?
病院では、毎日たくさんの検査や治療が行われています。そのすべてが「安全」に行われて、はじめて患者さんは安心して医療を受けることができます。「医療安全管理学」は、そんな医療の「当たり前の安全」を支える力を学ぶ科目です。臨床検査技師として働くうえで、欠かすことのできない大切な学びが詰まっています。「医療安全管理学」では、医療現場で起こりうるミスやトラブルを防ぐための考え方と行動、さまざまな検体採取の手技を学ぶ科目です。おもに以下のようなことについて学びます。
学んだことは医療の現場でどのように役立つの?
検査結果は診断や治療を左右する重要な情報です。そのため、「正確で安全な検査」を行う責任があります。医療安全管理学で学んだ知識・技術は、
- 検体やデータを慎重に扱う姿勢
- 「いつもと違う」「おかしいかもしれない」と気づく力
- 問題を一人で抱え込まず、周囲と相談する力
- 安全で適切な検体採取
として、現場で生かされます。こうした積み重ねが、患者さんの命を守ることにつながります。医療安全管理学は、現場に出てから「学んでおいてよかった」と実感する科目の一つです。
この科目や分野の面白さや魅力は?
医療安全管理学の魅力は、「失敗を責める学問」ではないところです。大切なのは、「どうすれば同じことを繰り返さないか」「より安全な方法は何か」をみんなで考えることです。人は誰でもミスをします。だからこそ、仕組みやルール、チームワークで安全を守る。その考え方は、医療だけでなく、日常生活や将来どんな仕事に就いても役立ちます。また、臨床検査技師は「正確さ」と「冷静さ」が求められる専門職です。医療安全管理学を通して、責任ある医療人としての姿勢を身につけられる点も大きな魅力です。医療安全管理学は、「確実に医療を支える」臨床検査技師の役割を実感できる科目です。
-
検査総合管理学
検査総合管理学菅野 光俊福島県立医科大学 保健学部
検査の信頼性を守るプロフェッショナルを育てる!
臨床検査の流れや品質管理の方法を学び、正確で信頼できる検査結果を提供するための仕組みや管理の考え方を理解する科目です。
どんなことを学ぶの?
血液検査や心電図、PCR検査など、医療の多くは「臨床検査」から始まります。臨床検査の役割は、病気の発見や治療方針の決定に欠かせない「正確*1なデータ」を迅速に患者や医師に提供することです。臨床検査では検査を行えば必ず正しい検査結果が得られるわけではありません。「検査総合管理学」は、正しいデータであることを保証する(品質保証)ために、臨床検査領域における総合的な品質管理、リスクマネジメント、組織運営を学ぶ科目です。おもに以下のようなことについて学びます。
*1正確:測定値が真の値にどれだけ近いかを表す。
学んだことは医療の現場でどのように役立つの?
「検査総合管理学」で学んだことは精確*2な検査結果を提供することに直結します。検査の過程で異常データは様々な要因により発生します。異常データの発生要因を理解することにより、正しい検体の採取や取り扱いをすることで、未然にトラブルを防ぐことができます。
精確な検査結果を提供するために日常検査では、さまざまな精度管理手法を組み合わせて精度管理が行われています。精度管理の異常から分析装置の異常や、検体採取の不備や検体取り違いなどを疑うことができます。臨床へ自信をもって検査データを提供できるようになります。
検査体制や業務管理を学ぶことで広い視野で検査業務を行うことができると思います。また、将来的に検査部門の管理を担う役割になった時に基礎知識として役に立つときがくるでしょう。*2精確:測定値のばらつきの程度を表す。臨床検査では、ばらつきが小さく真値に近い測定値を指す場合があります。
この科目や分野の面白さや魅力は?
この科目の魅力は、臨床へ自信をもって信頼性の高い検査データを提供できるようになることです。臨床医は患者の症状や問診・身体所見だけでなく検査結果も合わせ、診断・治療・経過観察を行います。信頼性の高い検査データを提供し続けることで臨床の信頼が得られ、医療へ貢献することができます。逆に検査データの誤りや報告遅延は、誤診や医療事故に直結するため、信頼性の高い検査データを提供することは非常にやりがいがあります。
また、この教科で学んだ知識を活かし、精度管理の異常データからその原因を推測することは、推理小説を読み犯人を推測するのと同じような面白みを感じます。原因を特定し適切に対処できたときには、臨床に貢献できた喜びと充実感を味わうことができると思います。 -
卒業研究
卒業研究杉本 恵子藤田医科大学 医療科学部
教科書を超えた「答えのない問い」への挑戦
これまでに学んだ知識や技術を生かして自ら研究テーマを設定し、実験やデータの分析を通して新しい発見や課題の解決に挑戦し、研究の進め方や科学的に考える力を身につける科目です。
卒業研究って何?
教科書に載っている知識や皆さんが知っている科学的な常識は、過去の研究者たちが見つけ出した問いであり答えです。しかし、研究活動では、誰も知らない「新しい発見」を目指します。臨床検査学を学んでいると、例えば「この病気の発症や進行を予測できる新しい物質はないか?」や「既存の検査をもっと早く、正確にする方法はないか?」「なぜこのような現象が起きるのか?」といった疑問が沢山出てきます。卒業研究はこのような疑問に対し4年間の学部での学びをフル活用して行う、卒業に向けた最終の科目です。これは単なる勉強の締めくくりではありません。それは大学で学んだ知識と技術を総動員して「まだ誰も答えを知らない問い」に挑戦する活動であり、卒業後も続く研究活動の基盤となるものです。そして卒業研究を通して、課題発見、課題解決、情報発信力を同時に身に付ける大切な科目です。

卒業研究発表会風景 
発表が終了して緊張がほぐれた研究室の学生たち 学んだことは卒業後にどのように役立つの?
臨床検査学は研究活動と非常に高い親和性を持ちます。なぜなら臨床検査学は、病気の診断や治療効果の判定に欠かせない「データ」を扱う学問だからです。臨床検査技師の業務は、診断や治療方針の決定に直結しています。多くの臨床検査技師は卒業後も医療施設や企業、研究所などで継続して研究活動を行っており、現代医療の最前線を支えています。例えば、
- 病態解明や診断の進化: 特定の疾患マーカー(バイオマーカー)の新規測定法開発、微生物の薬剤耐性メカニズムや病原因子の解明、新しい画像解析法による新指標の臨床応用、病態を分子レベルで解明する研究など。
- 検査の質と効率の向上: 既存の検査法の精度管理や迅速化に関する検討、自動分析装置の性能評価や誤差要因の分析など。
- 公衆衛生や安全管理: 生活習慣病や特定健診における検査データの疫学的解析、医療安全管理に関する調査研究など。
このような研究で多くの学会発表や論文発表がなされ現代医療の進化に貢献しています。
そしてこれらの研究活動は、国内にとどまらず世界中の患者さんを助ける知見や技術に繋がる可能性を秘めているのです。卒業研究で培う実験力や思考力、発信力は、常に進化する医療に対し卒業後に専門家として正しく向き合うための基盤となります。この科目や分野の面白さや魅力は?
研究活動の面白さは、ずばり「答えのない未解決の世界で真実を見つける探偵」のようだからです。そしてその結果が病気で苦しむ患者さんを助けることに繋がるからです。
研究は、知的なパズルのようなものです。実験結果や解析データというピースを一つひとつ集め、論理的に組み合わせ、試行錯誤の末に全体像が見えたときの「そうか!わかった!そういうことか!」という瞬間の興奮は、何物にも代えがたい面白さです。そして立てた仮説を検証するために行う実験や解析では、細胞、遺伝子、微生物、画像に留まらず薬品、そして顕微鏡やリアルタイムPCR装置、次世代シークエンサーなどの機器といった、臨床検査学の扱うあらゆるものを対象とします。まさに、4年間で学んだことが全て役に立ち、繋がり合っていくのです。そんな研究活動や研究結果が患者さんの命を守り、人を助け、社会に貢献できるなんてとても素敵でやりがいのあることだと思いませんか。

研究室での実験風景 
飼育されているマウスと実験機器 -
臨地実習
臨地実習市野 直浩藤田医科大学 医療科学部
実際の臨床の場で「臨床検査」を学ぶ、そして君は大きく成長する!
これまでに学んだ知識や技術をもとに、病院や検査センターなどの医療現場で臨床検査の実際の業務を体験し、検査の流れや患者さんへの対応、チーム医療における臨床検査技師の役割を実践的に学ぶ科目です。
臨地実習って何?
臨地実習は、3年次もしくは4年次までに学内で学んだ基礎医学や臨床検査に関する知識や技術をもとに、実際の病院や検査センター、あるいは地域の施設等で臨床検査の業務やチーム医療を実践する臨床実習です。現場の臨床検査技師から「臨床検査の方法」だけでなく、採血や検体の採取から始まる検査の流れ、患者さんとの接し方、そして他の医療スタッフとのコミュニケーションの取り方など学内では学ぶことのできない実践的な実習を行います。言い換えれば、学内で学んだことは「知る、わかる」の段階、そこから「使う、実践できる」の段階に引き上げるための科目が臨地実習です。写真1では臨床検査技師から説明を受け、一生懸命メモを取る学生の姿が見られます。写真2は生化学検査実習風景です。


臨床検査技師教育に関する教育内容が見直され、2022年度(令和4年度)入学生から改正が行われました。その中でも臨地実習は、単位数の増加や具体的な実習内容が定められるなど大きな変更がありました。それはすなわち、臨床検査技師教育における臨地実習の重要性が高まっていることを意味しています。
臨地実習では、現場での学びを通して、臨床検査技師としての基本的な知識や技術を身につけることは言うまでもありませんが、医療の専門職である臨床検査技師がチーム医療の中でどのような役割と責任があるのかについても理解しなければなりません。さらに、学内での学びだけでは得ることが難しい医療人としての倫理感を身につけることも大切です。
実際に実習を行うと、現実の場面がつくり出す難しさがあるのも事実です。例えば心電図検査の実習では、患者さんに対する声がけから始まりますが、さまざまな患者さんに対し適切な対応が求められ、常に寄り添い思いやりの気持ちを持って接しなければなりません。また、多くの場面で医療スタッフとのコミュニケーションや連携も必要になってきます。臨地実習では、単に「検査ができるようになればよい」ということではなく、医療人としてどうあるべきか、どのように振る舞えばよいかを積極的に学んでほしいと思います。
臨地実習を行うと「できること・できないこと」を自覚することになると思いますが、同時に多くの気付きもあると思います。学生の皆さんは、この実習を通して大きく成長していきます。
臨地実習に臨む前に・・・
臨地実習では、必ず実習を行わなければならない検査項目や必ず見学しなければならない項目が決められています。例えば、心電図検査は必ず実習を行わなければならない項目のひとつです。心電図検査は直接、患者さんに接する検査で、勿論、臨床検査技師の方が指導してくださいますが「よく分かりません・・・」では、限られた時間の中で実習を有意義に行うことは難しく、また患者さんにも迷惑をかけてしまうかもしれません。
ですので、臨地実習を行う前には、学内で臨地実習前の技能習得到達度評価が行われます。これは、臨地実習を行うにあたって最低限の知識・技術が身についているかを確認するための試験です。この試験に合格しなければ臨地実習を行うことはできません。臨地実習は、臨床検査を1から学ぶところではなく、前述した通り、これまで学んできた知識や技術を「使う、実践できる」の段階に引き上げる非常に重要な学びの場なのです。
この科目の面白さや魅力は?
最初に言えることは、将来、自分が目指す「臨床検査技師」という職業が明確になることだと思います。臨床検査技師がどのように日常の検査業務を行っているかなど、将来の職場となる病院の検査室で学ぶことができるのは臨地実習のみだからです。
また、臨地実習でしか学べない、しかも非常に重要な学びが多くあることも魅力のひとつだと思います。実際の心電図波形や、患者さんごとに異なる複雑な血液細胞の形態を顕微鏡で観察することができます。疾患が「知識」から「目の前の現実」に変わる瞬間は、非常に大きな感動があると思います。さらに、チーム医療における臨床検査技師の役割や患者さん、あるいは医療スタッフとのコミュニケーションの重要性など、臨床検査技師に求められるスキルを再認識することになると思います。
臨地実習を終えた学生さんを見ていると、多くの学生さんが一回りも二回りも大きく成長した様子が伺えます。それは、単なる知識や技術の習得を超えて「医療現場の当事者」としての自覚が芽生えるからだと思います。



































